Temporary Anchorage Devices (TADs) Columbus
Nothing is Impossible

TADs are bio-compatible titanium alloy mini-screws that are inserted into specific places in the mouth to be used as a fixed point from which teeth can be moved. Before the use of TADs in orthodontics, orthodontists who wanted to move some teeth while keeping others still had to rely on devices like headgears and facemasks. TADs provide orthodontists with an option to move teeth without the use of such appliances and provide a fixed point from which to apply a force to move teeth. They can be placed in many different sites within the mouth. TADs as part of orthodontic treatment have generally proved to be safe and predictable. They can be removed anytime by the orthodontist. TADs have also allowed orthodontists to treat more patients without the need for orthognathic surgery. Many of the challenging open-bite malocclusions are now easily treated with TADS without the need for surgery.
Why Choose Polaris Orthodontic Center for TADs?
- Board-Certified Orthodontic Specialist
- Long Track Record of Successfully Using TADs
- Able to Help Many Orthodontic Patients Avoid Surgery
Watch the Video Below to Get More Information on TADs:
Dr. Mason has extensive experience in the use of TADs and the correction of severe malocclusions without surgery. Below are some patients treated by him without surgical intervention.
Class III / Underbite Correction Case




Adult patient with severe underbite and skeletal class III, patient was treated non-surgically using multiple TADS.
Cant Correction Case



Adult patient with a cant in maxilla (uneven gingiva) due to skeletal asymmetry. Patient did not want to have jaw surgery but wanted to improve his smile. TADS were used to mask the skeletal asymmetry.
Molar Protraction Case


Adult patient with missing mandibular first molars. TADS were used to protract (pull forward) the 2nd and 3rd molars (wisdom teeth). Patient was saved from getting implants for the missing teeth.
TADs Used As Anchors

Adult patient with extraction of premolars. TADS were used instead of headgear to help with anchorage management and space closure.
TADs Used To Guide Impacted Canines

Adult patient impacted tooth in the palate. TAD in palate was used to guide the canine into the arch.
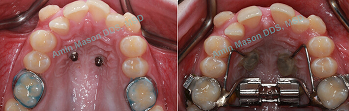
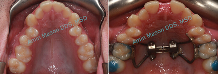
TADs Used to Open Maxillary Suture in Older Patients


Adults patients presented with narrow maxilla and crossbite. TAD-supported expanders were used to open the maxillary suture instead of surgical procedure.
TADs Used to Correct Open Bite Malocclusion Non-Surgically
Teenage patient with open bite malocclusion. Two TADs were used to close the bite.

Adult patient with a severe open bite. Patient requested TO ONLY HAVE THE BITE IMPROVED and did not want full comprehensive treatment. Limited braces were bonded.



Adult patient presented for retreatment. Patient could only chew on 2 teeth on each side. TADS and Invisalign were used to close the bite.


Patient Reviews