Invisalign Columbus
Discreet, Comfortable, & Effective

Many professionals would like to correct noticeable gaps or misaligned teeth, however, they find the prospect of wearing noticeable metal braces unbearable. Invisalign clear aligners offer an aesthetic treatment option for such patients. Invisalign in Columbus offers a series of clear, removable aligners that work to straighten your teeth. With the new advances in clear aligner technology, the majority of adults and adolescents can have Invisalign as a treatment option.
Why Choose Polaris Orthodontic Center for Invisalign?
- Highly Accomplished Board-Certified Orthodontist
- Hundreds of Successful Cases for Even Complex Ortho Issues
- Treatment Planning with State-of-the-Art 3D Imaging
How Does Invisalign Work?

Over the course of treatment, you will be supplied with a series of aligners. Each aligner will fit over attachments (buttons) that are tooth colored and are glued onto your teeth. Each aligner will make slight adjustments to tooth position, a process that is mapped out in advance by your orthodontist, specifically for your malocclusion. When the aligners are placed on the teeth, they cause the teeth to gradually shift from their current position. After approximately one to two weeks, you will begin using the next set of aligners, which will continue the teeth straightening process.
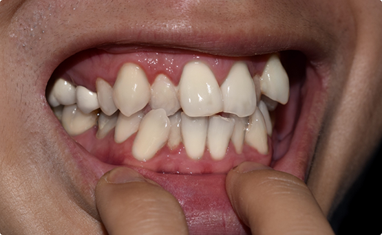
Case 1
Adult female, anterior and posterior crossbite, crowded arches, and worn dentition.
Treatment: Patient was treated with Invisalign clear aligners only.


Case 2
Adult female, unilateral posterior crossbite, crowded upper arch, class II molar relation on the right with narrow smile on the right side.
Treatment: Patient was treated with an expander followed by Invisalign clear aligners.


Indications for Invisalign

With Invisalign treatment in our Columbus orthodontic office, we are able to address most mild to moderate orthodontic issues. If you would like to find out if Invisalign treatment can help you, request an appointment with Dr. Mason. After he evaluates your mouth, he may recommend Invisalign aligners as the best treatment for you. Invisalign aligners may be used to correct any of the following problems:
Crowded Teeth

Teeth that are too close together can be difficult to clean, leading to an increased risk of decay. Invisalign, along with other treatments (such as the extraction of teeth), can relieve the crowding of your teeth.
Rotated Teeth

Rotated teeth, which emerge from the gum line at the wrong angle, are both a cosmetic and a functional problem. Invisalign aligners can turn such teeth on their axes so they are properly aligned.
Spacing

Whereas some teeth are too close together, in other cases, the teeth are too far apart. Improper spacing is both unattractive and can lead to impaction of food between the teeth. Invisalign aligners can close unsightly gaps and help you achieve a healthier smile.
Open Bite

The most common type of open bite occurs when the top and bottom front teeth are slanted too far forward. Thus, they do not touch when the mouth is closed. Invisalign aligners are able to change the position of your teeth and bring your bite into proper alignment.
Crossbite

There are two types of crossbite. One type occurs at the back of the mouth (posterior crossbite); it is when the upper back teeth bite down inside the lower back teeth. The other type occurs at the front of the mouth (anterior crossbite); it is when the upper front teeth sit inside the lower front teeth. Both types of crossbite can lead to jaw pain and damage to the teeth. Invisalign aligners can correct your crossbite with the help of your orthodontist.
Underbite

When the lower teeth extend beyond the upper teeth, the condition is called an underbite. An underbite can cause eating difficulties and damage to the teeth. In most cases, Invisalign aligners can correct underbites with the help of your orthodontist.
Increased Overbite/ Deep Bite

An overbite is when the upper front teeth overlap too much over the lower front teeth, causing both cosmetic and dental enamel wear. By moving the upper teeth and lower teeth away from one another, Invisalign aligners can correct your deep bite.
How Successful Is Invisalign Treatment?

The success of treatment with the Invisalign system depends on the clinician’s training and the patient’s compliance. As an orthodontist, Dr. Mason has undergone a university orthodontic residency, which has allowed him to treat many simple and complex cases successfully with the Invisalign system. He has been an Invisalign Premier Provider for multiple years and has helped countless patients transform their smiles with the Invisalign system. He has been recognized as a semi-finalist clinician in the North American Invisalign Summit in 2016. The Invisalign Summit Gallery recognizes orthodontists across North America who have achieved successful clinical outcomes using the Invisalign clear aligner system. Among hundreds of patient entries, two of Dr. Mason’s patients were featured by peer-orthodontists as 2016 Invisalign Semi-Finalist cases.
What Are the Benefits of Choosing Invisalign?

- Invisalign patients have much better hygiene compared to patients in braces and do not develop white spot lesions.
- Invisalign is more comfortable than braces.
- Invisalign patients have very few emergencies. Emergencies can happen with braces (broken brackets, poking wires during summer vacations, or while traveling).
- Invisalign patients have no food restrictions. Patients in braces must avoid many foods.
- Invisalign patients require less frequent visits to the office.
- Invisalign is much less visible for social events such as Prom, senior pictures, and weddings.
What Are Invisalign Treatment Requirements?

- Invisalign trays MUST be worn for a minimum of 22 hours (FULL-TIME wear is required).
- Aligners must be taken out before eating or drinking any beverages other than water.
Invisalign Treatment Planning

If you are thinking about using Invisalign to correct your dental misalignment, you have an exciting road in front of you! But you might wonder how you can get started on your journey to straighter, healthier teeth. Dr. Mason and the team at Polaris Orthodontic Center in Columbus are eager to serve you. When you visit us to learn about Invisalign, we may guide you through the following steps:
Discussion About Invisalign

Before you commit to anything, you should have a talk with Dr. Mason and our team. During this consultation, we will learn about the condition of your teeth and answer your questions about your treatment options. Bring a list of things you want to ask us about — we do not want you to forget anything! If we are in agreement that Invisalign is right for you, we will move on to the next steps in the treatment process.
Mapping Your Teeth's Movements

Before you leave your initial appointment, we will use advanced scanning technology to take a digital impression of your teeth. (You will not have to worry about messy and uncomfortable manual impressions!) The scanning process is remarkably accurate, and it will yield a digital, three-dimensional image of your teeth that Dr. Mason can upload into advanced treatment planning software. He will use the software program to map out the movements of your teeth.
Once your teeth’s movements are mapped out, we can give you a realistic preview of what your smile will look like once you finish your Invisalign treatment. Many patients find that seeing their results ahead of time gives them extra motivation to comply with their treatment instructions.
At this point, you will have to make a final decision on whether you want to move forward with Invisalign. We will make sure you understand the financial aspect of your care so you can make a well-informed choice.
Fabricating Your Aligners

Once you decide to commit to Invisalign, our team will send your treatment plan to the Invisalign company, where technicians will use 3D printing technology to fabricate your aligners out of Invisalign’s patented SmartTrack material.
Each aligner will be customized to your unique smile and designed to work seamlessly with your original treatment plan.
Starting Your Treatment

After Invisalign ships your aligners to us, you will return to our office. We will answer any last-minute questions you have before you start using your treatment. Be sure to wear your aligners for 20 – 22 hours each day and comply with other instructions that we give you. You will visit us every 6 – 8 weeks or so; we will monitor your progress and support you on your journey toward your ideal smile. You are always welcome to call us between appointments if you run into questions or concerns regarding your Invisalign aligners.
Getting started with Invisalign is easy! Contact us today to book your consultation.
Living with Invisalign

Invisalign will require you to make some changes to your daily routine. Our team will give you some tips to help you transition to life with clear aligners. For example, we will coach you on oral hygiene and give you directions on eating and drinking during your treatment period. For most patients, it does not take long to adapt to their new routine!
Adapting to Life with Clear Aligners

Are you thinking about getting started with Invisalign? You might wonder how your aligners will affect your daily life. They will require you to make some adjustments. Most patients can adapt fairly quickly, and our team is always ready to answer any questions or concerns that might pop up along the way. Specifically, what should you do to make your treatment a success? This section provides helpful information.
Wearing Your Aligners

You should make it your goal to wear your aligners as much as possible. Ideally, they should be on your teeth for 20 – 22 hours each day. Failing to reach that marker could undermine the effectiveness of your treatment. You should only remove them when you are eating, drinking anything other than plain water, or tending to your oral hygiene.
Your aligners may cause you some mild discomfort, especially when you first start wearing a new one. That is a sign that your treatment is working, so do not take it to mean that you should remove your aligners from your mouth.
Eating and Drinking with Invisalign

Plain water (cool or room temperature) is the only thing you should consume while wearing your aligners. Anything else could damage them. For example, if you attempt to chew food while wearing Invisalign, your aligners could break. Highly pigmented beverages could stain them, and hot drinks could warp them.
Place your aligners in their storage container during meals. Clean both your mouth and your aligners before you start wearing them again.
Invisalign Checkups

Our team will need to monitor your progress with Invisalign, so we will encourage you to attend regular appointments (every 6 – 8 weeks or so). These checkups are usually very brief unless there is a significant problem that requires our attention.
Cleaning Your Aligners

In addition to rinsing your aligners after mealtimes, you should give them a more thorough cleaning each night. You can use Invisalign cleaning crystals to get rid of harmful bacteria, reduce the risk of unwanted odors, and keep your aligners looking their best. Alternatively, you could use a denture-cleansing formula to soak your aligners for 20 minutes or so.
You should also be mindful of the need to keep your teeth clean. Wearing your aligners while there are food particles or plaque on your teeth could damage your oral health.
Dealing with Mishaps

If you ever misplace or damage an aligner, call our team so we can give you directions. We may order a replacement for an aligner that is no longer usable, or we might tell you to move on to the next aligner a few days early. We want to get your treatment back on track as quickly as possible!
What to Expect with Invisalign

After Dr. Mason determines that you’re a good candidate for Invisalign, his staff will take images and digital impressions of your teeth, which will be used to create a simulation of your treatment. This initial simulation will require modification by Dr. Mason. Once the tooth movement is viewed and modified by Dr. Mason, your aligners are fabricated and sent back to our office. After you start wearing Invisalign trays, you’ll need to visit our office periodically so we can make sure that your treatment is proceeding smoothly. After you finish all your Invisalign aligners, Dr. Mason will provide you with retainers to help you maintain your newly straightened smile.
Your Treatment Journey from Beginning to End

Many adults and teenagers alike flock to get Invisalign treatment in Columbus because it is discreet, effective, and convenient. Still, you might have questions about what to expect throughout the treatment procedure. This page will take you on a tour of the Invisalign treatment process from beginning to end.
Getting Started

If you’re interested in getting started with Invisalign, schedule a consultation with Dr. Amin Mason. First, he’ll evaluate you to see if you are a candidate for Invisalign treatment. If it looks like Invisalign will be able to effectively treat your case, his staff will take digital impressions and images of your teeth, which will be sent to the Invisalign lab. The laboratory will create a digital simulation of your treatment, which will require modification by Dr. Mason. Once the tooth movement is viewed and modified by Dr. Mason, your aligners are fabricated and sent back to our office.
Before you get your first set of aligners, attachments will be bonded to your teeth. Attachments are small, tooth-colored bands that will allow the aligners to move your teeth and retain your aligners on your teeth.
Wearing the Aligners

You’ll have to wear your aligners as much as possible throughout your treatment period — at least 20 to 22 hours each day. Because some teenagers need a bit of extra motivation to comply with treatment, Invisalign for teens in Columbus includes little blue compliance dots on the aligners. The dots help parents and Dr. Mason ensure that younger patients are wearing their Invisalign trays.
If you ever run into any problems throughout your treatment period, get in touch with us. For example, if you lose or damage an aligner, we can order a replacement for you. Invisalign Teen comes with available replacement aligners.
You might notice a bit of soreness in your mouth when you switch to wearing a new aligner. That’s perfectly normal, and it shouldn’t last for longer than a day or two. You can mitigate the discomfort by taking over-the-counter pain reliever medications.
Invisalign Checkup Appointments

Every 10-12 weeks, you’ll need to visit our office for a quick checkup. Dr. Mason will make sure your treatment is proceeding smoothly and provide you with your next set of aligners. In most cases, these appointments take just a few minutes; you could probably even come in on your lunch break!
Your Invisalign checkups aren’t an excuse to neglect visits to your regular dentist. You’ll still need routine cleanings and exams throughout your treatment period.
Wrapping Up Your Treatment

After you’ve worked your way through all your aligners, Dr. Mason will provide you with retainers. Wearing your retainers is vital if you want to maintain your new, beautiful smile. At first, you may need to wear them full-time. As the months pass, you’ll be able to wear them only at night. Eventually, you may need to wear them for only a couple of nights each week.
Understanding the Cost of Invisalign

One of the first things patients ask us about Invisalign is, “How much does it cost?” Since the price varies from patient to patient, you will have to come in for a consultation to learn more about the financial aspects of your treatment. We want you to be able to afford Invisalign, so we are more than happy to help you file insurance claims and assist you as you apply for convenient financing.
Factors That Affect the Cost of Invisalign

Some factors that affect the cost of Invisalign in Columbus include:
- The complexity of your treatment. More severe cases of misalignment require more time and more aligners to correct. Hence, their cost may be accordingly higher.
- Whether you are straightening one arch or both. Logically, treating both the upper and lower dental arches usually costs more than just treating one or the other.
- Compliance with treatment. If you accidentally lose an aligner, do not wear your aligners as much as recommended, or make other missteps along the way, you may end up incurring a slightly higher overall cost.
Invisalign vs. DIY Aligners: Which Costs More?

In recent years, DIY clear aligners have become more and more popular. These products appeal to many consumers because they may cost around just $2,000 or so for start-to-finish treatment. Invisalign usually costs significantly more than that.
However, while DIY aligners may come with an attractive price tag, it is important to consider what you are getting for your money. You may have to take your own dental impressions. Even a small mistake while doing so could adversely affect your treatment outcome, causing you to spend more money to correct the issue. Plus, aligners from DIY companies tend to be made out of basic plastics rather than state-of-the-art materials.
Invisalign, on the other hand, is an excellent value. The aligners are made out of a patented material that is designed for comfort and precise tooth movements. Plus, you get the personalized support of an experienced Invisalign dentist in Columbus throughout your treatment journey.
Does Dental Insurance Cover Invisalign?

Some dental insurance policies have a lifetime maximum for orthodontic care. If that is true of your plan, it might reduce your out-of-pocket costs by $1,000 or more. Our team will be happy to help you navigate your benefits and file your claims. If your insurance does not cover Invisalign, you may have other options for affording your treatment. For example, some patients choose to use funds from their FSA or HSA.
Options for Making Invisalign Affordable

Insurance, FSAs, and HSAs are just a few possible means of managing the cost of Invisalign. Many patients choose to apply for low-interest financing through CareCredit. CareCredit is a third-party lender that offers low-interest and no-interest payment plans for medical and dental services, including Invisalign. Most patients are eligible for credit, and you may be able to choose from several different payment arrangements, according to what your monthly budget allows.
Our team is ready to help you navigate the financial aspects of your Invisalign treatment. Contact us today to schedule your consultation or learn more about our practice’s payment policies. We look forward to serving you!
Invisalign vs. Other Orthodontic Treatments

Perhaps you know you want to straighten your teeth, but you aren’t sure if you should choose Invisalign or another orthodontic treatment. Dr. Mason and our team would be happy to help you compare your options. In the meantime, you can click on the link below to see a general comparison of Invisalign vs. other popular forms of orthodontic treatment.
How Should You Straighten Your Smile?

Modern orthodontic science has progressed to the point where patients are often able to choose between several treatment options. Invisalign is popular due to its subtle appearance, but there are many other clear aligners on the market as well. Plus, traditional braces are still an effective way to address orthodontic issues. How should you straighten your smile? This page explains how Invisalign stacks up against other popular options.
Effectiveness

Invisalign can correct most types of mild to moderate orthodontic issues, including crowded teeth, gapped teeth, and more. It is suitable for teens, adults, and in some cases, children.
Other clear aligners work similarly to Invisalign, but they are usually not recommended for children. Also, keep in mind that clear aligners work best when the treatment is overseen by a qualified dental professional. Mail-order clear aligners are very risky.
Traditional braces are suitable for patients of practically any age, and they can address mild to severe cases of dental misalignment.
Materials

Invisalign aligners are constructed out of a patented form of plastic known as SmartTrack. It is engineered to produce precise, comfortable tooth movements.
Other clear aligners are made out of various forms of plastic. They can vary in thickness, comfort, and effectiveness.
Braces usually have metal brackets and wires, though some patients are candidates for ceramic brackets.
Convenience

Invisalign and other clear aligners are attractive to many patients because they are removable, which allows for easy oral hygiene. They can also allow you to continue eating all of your favorite foods.
Braces are bonded onto the teeth, so they require some adjustments to your oral hygiene routine and eating habits.
Comfort

Invisalign aligners are trimmed so they rest as comfortably as possible against the gumline. The smooth plastic is unlikely to irritate soft oral tissues.
Other clear aligners may or may not be comfortable; it can vary from brand to brand.
Braces have metal parts that irritate some people.
Appearance

Invisalign and other clear aligners feature a subtle appearance in the mouth. Onlookers may be able to tell that you have something on your teeth, but your treatment is unlikely to be the first thing they notice about your smile.
Braces tend to be quite noticeable, though some types of braces are more subtle than others.
Which Orthodontic Treatment Is Right for You?

There are several factors that you should consider when you are deciding whether Invisalign or another type of orthodontic treatment is right for you. We encourage you to book a consultation with our team so we can help you consider the pros and cons of each of your options.
Invisalign FAQs
How Long Does Invisalign Take?
The treatment timeline for Invisalign varies from patient to patient. Things like the degree of your dental misalignment, how well you comply with Dr. Mason’s instructions, and your age can all affect how long it takes for you to achieve your final results. When you visit us for your consultation, Dr. Mason will be able to estimate how long your treatment will take. On average, Invisalign takes about 12 months. However, it can take up to 18 months or longer depending on the situation.
Does Invisalign Hurt?
Orthodontic treatment forcibly moves teeth by applying constant pressure to them. Some tenderness and soreness are to be expected, especially when you first start wearing an aligner. Drinking cool water and taking over-the-counter pain medications can minimize your discomfort. It is also helpful to start wearing a new aligner at night so you can sleep through part of the adjustment period. Many patients find that treatment with Invisalign is easier than they expected; the aligners are made out of a smooth plastic material that is designed for comfort.
What Happens After Invisalign?
After you work your way through all of your aligners, Dr. Mason will provide you with a retainer. There are a few different types of retainers, some of which are fixed in the mouth, and others of which are removable. Whichever type of retainer you receive, our team will coach you on how to care for it. At first, you should wear a removable retainer full time, just as much as you wore your Invisalign aligners. Eventually, you may be able to graduate to wearing it just a few nights each week.
What if My Invisalign Broke?
If you see some hairline cracks, you might be able to continue using your aligner — just be extra careful when you are putting it in your mouth or taking it out. However, if the damage is significant, you should not attempt to wear the retainer. DIY repairs are also not advisable. Instead, call our office. We might have to order a replacement aligner for you. In the meantime, we may recommend that you go back to wearing a previous aligner. Or, if you are just a few days from being able to switch to a new aligner, we might recommend that you make the transition a little early.
What Do Invisalign Trays Look Like When Worn?
Invisalign aligners are made of a clear, thin plastic material that almost disappears when it is placed on teeth. Although the aligners may make your teeth look a bit bigger than usual, they should not call a lot of attention to themselves.
If you need accessories for Invisalign, such as buttons or elastics, note that they are not transparent.
What Are Invisalign Attachments?
Invisalign attachments are small, tooth-colored bumps that get bonded onto specific teeth. Their purpose is to guide the force of your aligners so they can move your teeth as effectively and efficiently as possible.
The process of placing and removing the attachments is relatively comfortable and quick, and it does not damage your enamel.
During your consultation, our team can let you know whether attachments are necessary in your case.
Can You Get Invisalign After Braces?
After you complete braces treatment, you might find that your teeth start to shift out of place, perhaps due to inconsistent retainer wear or other factors. If that is happening to you, Invisalign may be a suitable solution. The aligners can get your teeth back where they belong so you can return to enjoying the benefits of a well-aligned smile and harmonious bite.
But what if your initial dental misalignment is a bit too severe for Invisalign to correct? You might be able to start your treatment with traditional braces, which are suitable for almost all types of misalignment. Then, you might be able to switch to Invisalign mid-treatment so you can enjoy a more discreet way of straightening your teeth. If you are interested in doing so, let our team know so Dr. Mason can determine whether that is a good option in your unique case.
Who Is a Candidate for Invisalign?
Generally speaking, good candidates for Invisalign…
- Are teenagers or adults.
- Are committed to wearing their aligners for the recommended 22 hours each day.
- Have a strong commitment to oral hygiene.
- Have a type of misalignment that Invisalign works well for.
- Do not smoke.
Our team can evaluate your unique circumstances and let you know whether Invisalign is a good fit for you. If it is not, we can explore other treatment possibilities.
Can You Eat with Invisalign Trays In?
You should never eat while wearing your Invisalign trays. Doing so could stain them or cause significant damage, perhaps even rendering them unusable. It can also place extra pressure on your teeth. The only thing you should consume while wearing Invisalign is plain water.
When you remove your aligner trays, you can feel free to eat whatever you enjoy.
Patient Reviews